
서울대학교병원 영상의학 의료진 (윤순호, 박상준)이 주축이 되고 국내 다기관 영상의학 연구진 (한양대병원, 유승진; 분당서울대병원, 이경희; 부산대병원, 정연주; 서울의료원, 이영경; 은평성모병원, 이배영; 인천의료원, 김진용; 보라매병원, 진광남; 경북대병원, 임재광; 전남대병원, 김윤현) 및 중국 란저우대학제1병원 (Xiaolong Qi), 시안국제병원 등과 협력하여 코로나19 CT 분석 소프트웨어를 개발하고 3월 18일 전세계에 무료 배포하였다.
소프트웨어는 AI 의료영상 분석 플랫폼 및 의료용 3D프린팅 전문기업이자 서울대병원 스핀오프 벤쳐회사인 메디컬아이피㈜(대표이사 박상준)의 AI 의료영상 분석기술을 기반으로 개발되었으며 메디컬아이피는 CT, MRI 등 2차원 의료영상을 3차원으로 즉각 구현하고 이를 분할 및 분석할 수 있는 원천기술을 보유하고 있다.
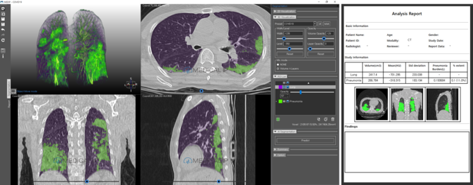
전 세계적으로 코로나 의심환자와 확진자 수가 급증하는 가운데 조기 진단과 중증도 판단은 매우 중요한 화두로 떠올랐다. 코로나19 CT 분석 AI 소프트웨어는 메디컬아이피 홈페이지 (www.medicalip.com)를 통해 누구나 무료로 다운로드 받을 수 있으며 코로나 19 환자의 CT 영상을 분석해 1분 내외로 코로나 폐렴을 자동으로 탐지, 분할, 정량화한다. 이를 통해 폐렴이 심한 중증 환자의 선별과 모니터링에 기여를 할 것으로 기대된다.















